Plastic Surgery
Aesthetic
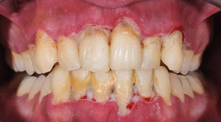
Dental
Hair
Hyperbaric
Solution
Shop
Shop
Consultation Booking
Promotion
News
Artikel
Online Media
Video
About
Doctor
Branches
Contact Us
Plastic Surgery
Aesthetic
Dental
Hair
Hyperbaric
Solution
Shop
Shop
Consultation Booking
Promotion
News
Artikel
Online Media
Video
About
Doctor
Branches
Contact Us
What's News
Tanda-Tanda Kamu Cocok untuk Sedot Lemak: Panduan Medis dan Estetika
Operasi Sedot Lemak: Panduan Lengkap, Proses, Biaya, dan Pemulihan
Bagian Tubuh yang Paling Sering Jalani Operasi di Klinik Kecantikan
Tips Mengatasi Kulit Belang karena Sering Memakai Kaos Lengan Bolong
‹
1
2
...
5
6
7
8
9
10
11
...
269
270
›